Full Whitening Session
1h 30 min
A complete Philips ZOOM!® whitening treatment using premium, naturally compounded products for maximum brightness and comfort. Ideal for sensitive teeth and includes an initial consultation.
Give your smile the care it deserves in Fort York, Toronto
Intentional, unrushed care by an Independent Dental Hygienist in Fort York, Toronto. Experience the future of dental cleanings & whitening at our Fort York location. A premium oral health experience using Guided Biofilm Therapy with the advanced EMS AIRFLOW® system. Safe Philips Zoom teeth whitening and Swarovski tooth gems in Toronto.
Welcome to our independent dental hygiene studio in Fort York, Toronto! A place where you can actually enjoy the dental care experience!
Here in Fort York, every visit is designed to meet your unique needs at a comfortable, unrushed pace. We focus on intentional care, creating an environment that eases anxiety and fosters trust throughout Toronto.
Here, your comfort, oral health, and confidence are the top priorities, with treatments tailored to support both your well‑being and your smile at our Toronto location.
Every detail is centered on delivering a calm, positive experience where you feel heard, cared for, and truly valued at Krystal Dental Hygiene in Fort York!
Hello everyone! My name is Krystyna Korolchuk. I’m a dedicated registered dental hygienist with a passion for creating confident, healthy smiles. Born in Ukraine, raised in Argentina, and educated in Montreal, I’ve had the privilege of learning multiple cultures and languages—I speak French, English, Spanish, and Russian fluently.
Since graduating from Collège de Maisonneuve in 2018, I’ve worked alongside excellent dentists and orthodontists, gaining experience throughout Toronto in general dentistry as well as braces, Invisalign, and other orthodontic appliances. I also collaborate with trusted specialists, including periodontists and oral surgeons, for referrals when needed.
Today, my focus is on preventive dental care, professional cleanings, teeth whitening, and tooth gems. I operate my own dental hygiene studio, where I strive to create a warm, personalized, and collaborative experience that keeps patients informed. My goal is to deliver brighter, healthier, and happier smiles!
1h 30 min
A complete Philips ZOOM!® whitening treatment using premium, naturally compounded products for maximum brightness and comfort. Ideal for sensitive teeth and includes an initial consultation.
45 min
Maintain your bright smile with a touch‑up treatment following an initial ZOOM!® session. Helps counteract stains from coffee, wine, and other daily habits.
20 min
Aesthetic, damage‑free tooth decoration using Swarovski® crystals for a sparkling, elegant accent to your smile.
1h 30min
Premium oral health experience using Guided Biofilm Therapy with the advanced EMS AIRFLOW® system.
Every treatment includes a 5-minute Neck & Shoulder Massage with our specialized pillow device. Melt away jaw, neck, and shoulder tension, boost circulation, and leave feeling refreshed, stress-free, and completely pampered. Gentle heat, deep tissue relief, and a real-hand sensation — the perfect ending to your treatment.
At Krystal Dental Hygiene in Fort York, Toronto, we make dental care accessible and stress‑free. We accepts all major insurance plans — including private and student dental insurance for Toronto residents. Whenever possible, we bill your provider directly to minimize paperwork and out‑of‑pocket costs. We accept assignment of benefits, so you only pay what your plan doesn't cover at our Fort York studio.
Our dental studio proudly supports the Canadian Dental Care Plan (CDCP) — helping eligible patients receive covered services with ease. Our team will guide you through your coverage, explain your benefits, and handle the claims process for you.
Offering professional teeth whitening with proven safety and results.
Your dental home.







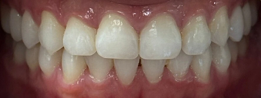
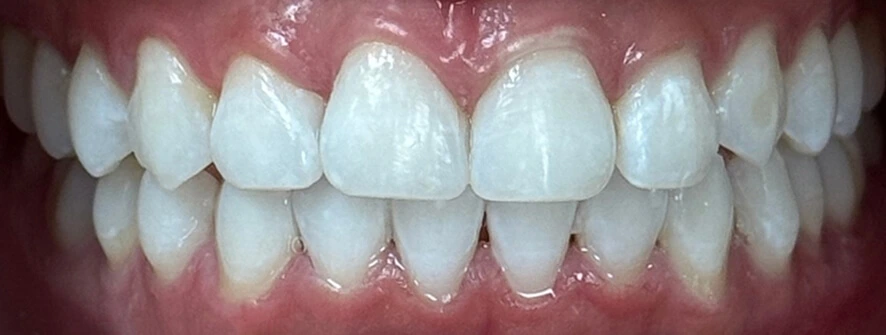
See the transformation — slide to compare results
Hear from patients who trusted us with their smiles
Learn, explore, and see how our patients shine — straight from our Instagram.
ZOOM!® is a professional in‑office whitening treatment designed to give you a noticeably brighter smile in just one visit. Lips and gums are carefully protected, while a hydrogen peroxide whitening gel is applied to your teeth. A specialized blue LED light activates the gel, breaking down stains and discoloration quickly and effectively.
Typically, one session is enough for a visibly whiter smile. Treatments last 60 minutes, though some clients achieve desired results in 45 minutes.
Results can last up to 1 year, depending on habits such as smoking or consuming coffee, tea, or wine. For longer‑lasting brightness, some clients come in twice a year or use custom whitening trays at home for touch‑ups.
ZOOM!® is the #1 patient‑requested professional whitening brand in Canada and the US. Its results are clinically validated, safe, and reliable. Unlike non‑dental professionals (aestheticians, spas), ZOOM!® is provided only by dental professionals, ensuring medical‑grade quality and personalized care.
We use a tailored sensitivity‑safe protocol to deliver bright results with maximum comfort.
No — ZOOM!® whitening is not painful, and local anesthesia is not needed. Patients are free to watch TV, listen to music, or even relax during the procedure.
For 48 hours post‑treatment, avoid stain‑causing foods and drinks such as coffee, tea, wine, kombucha, Gatorade, ketchup, tomato sauce, soy sauce, balsamic vinegar.
Yes — we can bill most major insurers directly. Bring your policy details; we'll check your plan and provide an estimate of your coverage.
24 hours notice required; fees may apply.
Reserved parking for "MY BEAUTY SUITE". TTC access: Fleet St at Bathurst St (509 Harbourfront to Union, 511 Bathurst).
Address:
614 Fleet Street, Suite 113, Toronto, ON M5V 1B3
614 Fleet Street, Suite 113,
Toronto, ON M5V 1B3
Phone: +1 (514) 627‑2490
Email: info@krystaldental.ca
WhatsApp Chat